目立たない矯正
目立たない装置でハッピースマイルを
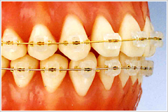
当院ではより快適に矯正治療を受けて頂くために、目立たない治療装置を標準で採用しています。
目立たない矯正 表側の装置のメリット
- 定評のある矯正装置としてよく使用されている。
- 歯が動きやすく、治療期間が短い
- 裏側の装置と比較して、装置の違和感が少ない
- 装置周辺にたまる汚れが磨きやすい
- 裏側の装置と比較してバリエーションが豊富でさまざまな装置を併用できる。
- 目立たない矯正 表側の装置のデメリット
-
- 歯の表側に装置が付いている
目立たない矯正の特徴
当院では、目立たない装置の弱点を解消した歯にやさしいプラスチック装置を採用しています。多くの歯科医院では、目立たない矯正にセラミックの装置を使用しています。
ところがセラミックは非常に硬いため、歯とかみ合ったりしますと歯が削れてダメージを受けてしまうのです。
また、歯並びがキレイになってセラミック装置を外す際に硬すぎるため歯を傷つけることが多いのですが、プラスチックの装置は適度に潰して外すことが出来るため歯を傷つけることがありません。
さらに目立たない装置のプラスチック製の弱点であった強度を必要な部分だけ補強していますので、歯を動かすことは全く問題なく使用できるのです。
また目立たない装置のプラスチックを使用すると変色するのではと心配される方もいらっしゃるのですが、通常の治療期間で変色することはありませんし、患者さんからそのような感想を頂いたこともありません。
















