矯正歯科 症例 ビフォー&アフター
画像をクリックしますと大きな写真と追加症例がご覧になれます。
-
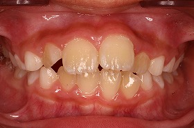
- 出っ歯を改善した症例
- 出ていて気になる前歯をスッキリするよう矯正歯科治療で引っ込めるように治療改善しました。
-
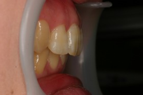
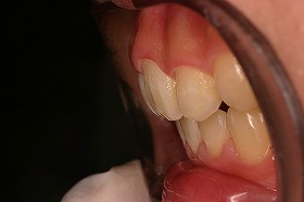
- 矯正治療+セラミック審美治療症例
- 前歯を矯正治療した後に、奥歯の銀歯をセラミックで白くキレイにしました。
-
- 隠れていた前歯を出してキレイした症例
- 重なっていた前歯を前に出して、しかも全体に膨らまないようにかつ出っ歯気味にならないよう治療しました。
-
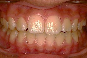
- 生えたての前歯をキレイした症例
- 前歯をキレイに並べ自信の笑顔になりました。
-
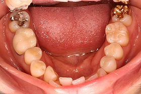
- 気になる出っ歯を引っ込めた症例
- 前歯を内側にキレイにすることで口元の審美性が改善しました。特に気になっていた下の前歯はスッキリしたと思います。
-
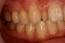
- ガタガタの歯のキレイにした症例
- 全体にがたついていた歯をキレイに並べ、自信を持って笑顔が作れるようになりました。
-
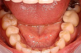
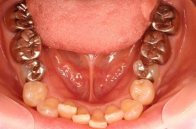
- ガタガタの前歯と奥歯のかみ合わせを改善した症例
- 奥歯の歯並びを良くして噛みやすくなりました。














.jpg)
.jpg)
.jpg)
.jpg)
.jpg)
.jpg)
.jpg)
.jpg)


.jpg)
.jpg)


