裏側の矯正
見えない裏側の矯正で気付かれずにキレイに
当院ではより快適に歯科治療を受けて頂くために、見えないイコグニートを採用しています。
矯正治療はしてみたいけれど、装置が付いているところを人に見られたくない、治療中であることを知られたくない、職業柄装置が歯の表面に見えるものは付けられないなどの、見た目が気になる方に最適な歯の裏側からの治療方法です。
歯の裏側に直接装置をつけるので、おしゃべりをしている時でも、食事をしている時でも前からは見えることがありません。 治療中だということを意識する必要もなく、人目を気にせず生活ができます。
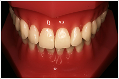
上下に装置をつけた状態。 表からは見えません。
見えない裏側矯正のメリット
- 治療中も装置が見えないため人目を気にせずに安心して生活できます。
- 自浄性の高い歯の裏側に装置があるため、虫歯になりにくいです。
-
- 装置が特殊なため通常のものと比較して追加料金が必要です。
- 治療期間が全体にやや長めになります。特に噛み合わせが深い場合には、歯の裏側に装置がつけられないため、下の歯を動かしてから上の裏側をつけるため時間がかかる場合があります。
- 治療開始から装置作製までに約2ヶ月間かかります。
- 表側に使用する装置よりもやや大きいため、歯磨きがしづらい部分もあります。定期的に専門のスタッフが裏側から綺麗にクリーニングをしますのでご安心ください。
見えない裏側矯正のデメリット
-
- 歯一つ一つの形状を3Dスキャナーで読み取り、それぞれの歯に最適な装置をコンピューター上でデザインして、3Dプリンターで鋳型を作り金合金を鋳造で製作します。
- 装置の厚みが薄いため、他の裏側装置と比較して痛みや違和感がとても少ないです。当院でこの裏側矯正にしてから違和感のクレームは今のところありませんが、発音を特に気にされる職業・アナウンサーや女優などの方はマウスピース型をご検討下さい。
- 精度が高いため、歯並びがよりキレイに仕上がります。
- 装置が丈夫で壊れにくい。
















