成人の矯正歯科
成人になってから歯をキレイにするのは今や常識!
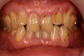
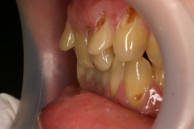
大人になってから歯並びを良くするのは普通です。
当院では40-50才代からスタートされている方が急増しています。
中には子供と一緒に親子で矯正治療される方もいらっしゃいます。
今まで気になっていたけどなかなか始めることが出来なかった歯の矯正は今からでも遅くはありません。
- 成人の矯正歯科を始めるメリット
-
- 歯並びがキレイになることで、自分の笑顔に自信が持てる。
- 今後心配な虫歯や歯周病の原因となる歯垢が溜まりにくい歯並びになる。
- 子供から始めるより短期間でキレイにできる。
- 成人の矯正歯科を始めるデメリット
-
- 子供から始めるよりは、歯を抜かないと治療できない可能性がやや高い。
今から成人の矯正歯科をするのはためらう方へ
歯並びは気になるけど、「今から矯正するのは恥ずかしい」「今から1年以上装置をつけるのはちょっと」とお考えですか?
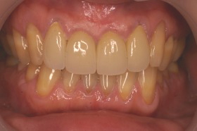
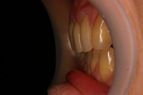
そのような場合にはあの目立つ装置をつけずに、歯並びを良くする審美歯科治療が有効です。
歯を削ってセラミックをかぶせることで、歯並びを改善することが出来ます。
セラミックで歯並びを良くするメリット
- 短期間で歯並びを改善できる。
- 他人の視線を気になりません。
- 同時に歯の色を白くすることも出来ます。
- 歯の矯正するより費用が安くなる場合がある。
- 歯並びが悪い部分が前歯に限局している場合に向いています。
セラミックで歯並びを良くするデメリット
- 歯を削る必要がある。
- 歯並びのがたつき具合がかなり大きいと出来ない場合もあります。




















