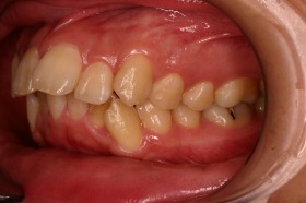
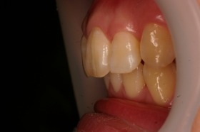
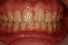
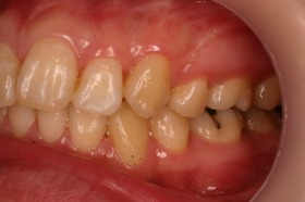
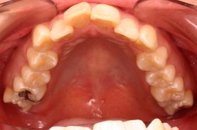
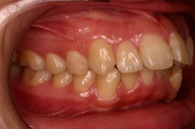
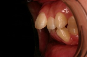
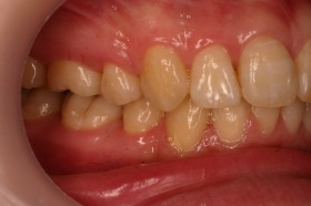
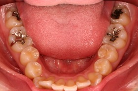
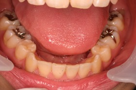
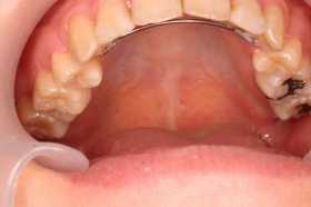
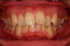
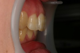
歯の矯正治療 症例ビフォー&アフター

ご覧の症例は出っ歯を矯正治療でキレイにしたケースです。

よく出っ歯は日本人に多いようなイメージがありますが

、世界的に見ても受け口と比較して出っ歯は多いようです。

 

このような場合では歯を抜いて矯正するか

、抜かずに矯正するか分かれるケースです。

 

ご覧の矯正歯科治療の場合は、抜いて矯正歯科

治療していますが東京世田谷矯正歯科センターでは

非抜歯矯正歯科治療をベースにしています。

 

どうしても抜かないとキレイにならない場合のみ

抜歯して矯正歯科治療しています。