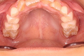
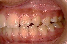
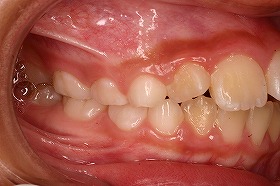
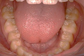
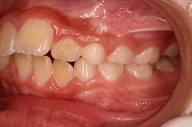
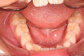
歯の矯正治療 症例ビフォー&アフター

前歯に大きなガタツキがある症例です。

 

奥歯はまだ乳歯が残っているので、前歯を矯正しながら
生え変わりと共に、全体的に整えていきました。

 

もともとアゴの小さい方でしたので、
将来奥歯が生えてきたときのスペースも考えながら
治療を進めていきました。

 

最終的に理想的な歯並びになり、虫歯もゼロの状態です。

 

あごの骨が柔らかい幼少時から東京世田谷矯正歯科センターで
治療進めてきたので、無理なく治療を行う事が出来ました。