歯の矯正治療 症例ビフォー&アフター
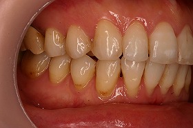
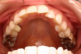
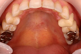
あまり歯のズレが少ないように見える方なのですが、
実は上下の前歯にがたつきがあり、
内側に歯が入り込んでしまっている症例です。
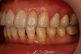
原因としては、あごが小さかったり、
アゴに対して歯が大きい場合など、
歯の生える場所が足りない時に起こります。
ガタガタの歯並びだと歯と歯のすき間に
ハミガキが行き届かず歯石が残り易くなります。
その歯石が虫歯や歯槽膿漏などの原因となり、
歯に悪影響を及ぼすのです。
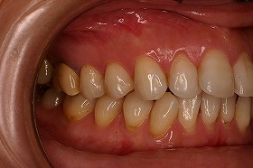
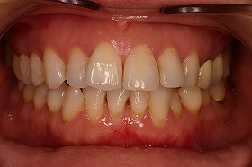
この患者様は、非抜歯で矯正治療を進めることができ、
治療後は上下の噛み合わせもよくなりました。

