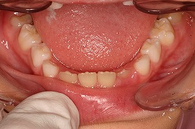
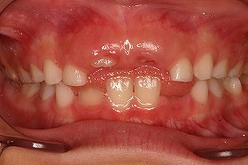
歯の矯正治療 症例ビフォー&アフター
乳歯の段階から歯列育形成を行なった症例です。
最近では乳歯から永久歯に生え変わる前から
矯正歯科始める方が最近は増えているようですね。
幼少期はアゴの骨が柔らかいので
比較的容易に歯のずれを修正することが出来るのです。
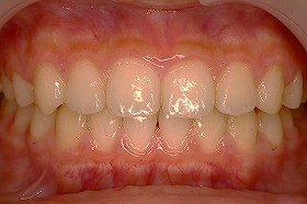
この患者様も、しっかりと歯列育形成を行なったので、
歯並びもキレイになりましたし、
定期的に東京世田谷矯正歯科センターに通うことで、
虫歯を予防することが出来て、銀歯などのつめものもありません。
矯正歯科は歯並びを整えてくれるだけでなく、
虫歯の早期発見につながるのですね。

