東京世田谷矯正歯科センターは医療法人ファーストの登録商標です。
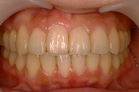
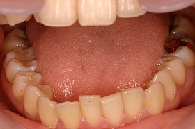
ご覧の症例は前歯が奥にずれてしまい、ハミガキなどがし辛い状態でした。
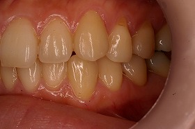
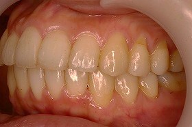
東京世田谷矯正歯科センターで噛み合わせの状態も考え、 上下で矯正治療を行いました。
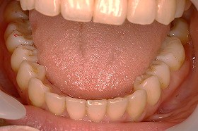
治療後は、上の前歯のずれはもちろんなのですが、 下の前歯の微妙ながたつきも無くなり、 とてもキレイな歯並びになりました。
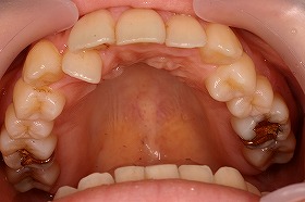
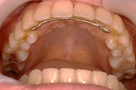
上の歯のずれが大きいものでしたので、 裏から後戻り防止のリテーナーをつけているのですが、 前からも見え辛いものなので、見た目を気にすることなく 過ごす事ができているようです。