東京世田谷矯正歯科センターは医療法人ファーストの登録商標です。
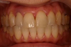
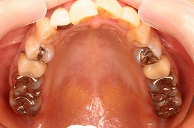
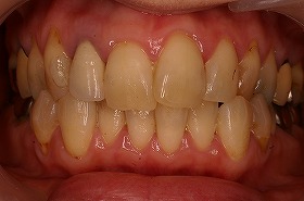
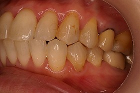
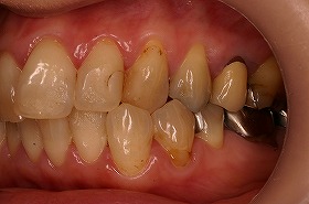
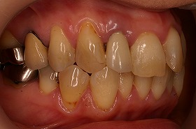
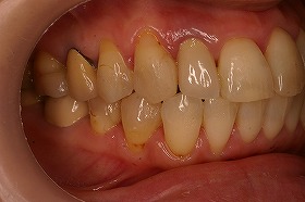
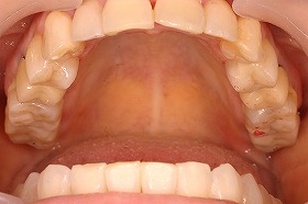
ご覧の症例は前歯のねじれ出っ歯を矯正治療でキレイにし、 さらに、奥歯のぎらつく銀歯をセラミックにつめなおしたケースです。
歯並びキレイになると、つめものの色も気になってくるようですね。 矯正治療と合わせてつめものを詰め替える方も多くいらっしゃいます。
東京世田谷矯正歯科センターでは、患者様の満足の行く状態まで 家族のように親身になって治療を進めていきます。
疑問や不安が少しでもあれば、そのままにせずに 何でも相談して解決してください。