歯の矯正治療 症例ビフォー&アフター
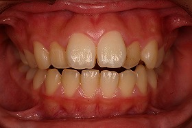
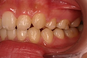
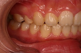
この症例は、出っ歯を矯正治療でキレイにしたケースです。
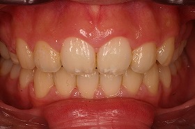
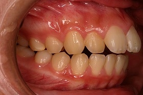
しっかり噛んでいなかった前歯がかみ合うように並べました。
最初にいらしたときには、出っ歯であることによって
噛み合わせが上手くいかず、口を閉じることが出来ないケースでした。
この場合だと、噛み合わせが悪いだけでなく、
口が常に開いているために、見た目もだらしなくなってしまいます。
さらに、口が開いた状態で生活すると、口の中が乾燥してしまい、
口臭の原因にもなるのです。
東京世田谷矯正歯科センターで、治療を進めると
出っ歯も後ろに下がり、噛み合わせもキレイになりました。
さらに上の歯が下の歯とあたるようになり、
とても食事がしやすくなったと喜んでいました。














.jpg)
.jpg)
.jpg)
.jpg)
.jpg)
.jpg)
.jpg)
.jpg)


